
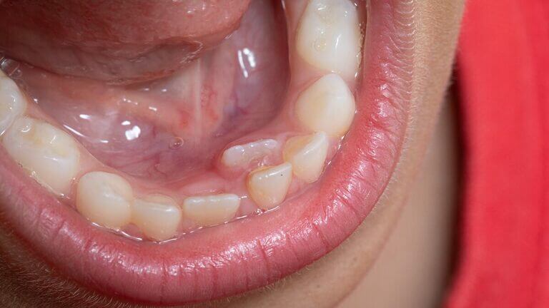
¿Por qué salen los dientes de tiburón o en doble fila en niños y cuándo llevarlos al dentista?
Los dientes de tiburón en niños se confunden a menudo con un problema de espacio o una malposición dental, cuando en realidad forman parte del recambio natural. El diente definitivo erupciona por detrás del de leche, que aún no se ha caído, creando esa doble fila que tanto llama la





